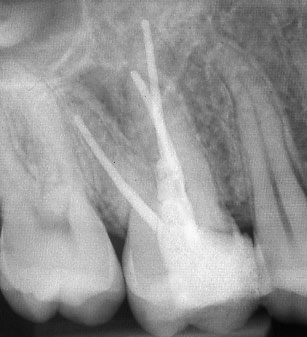
Рентгенографии на ендодонтски лекувани зъби
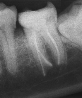
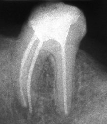
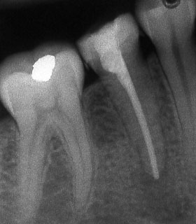
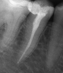
При добре проведено ендодонтско лечение кореновият канал е запълнен точно до стеснението, разположено на 1 - 1.5 мм. от края на канала - т.нар. физиологично стеснение. Не бива да остава незапълнена част от канала. Много често се получава припресване на канлопълнежното средство извън канал на зъба, в тъканите около корена.

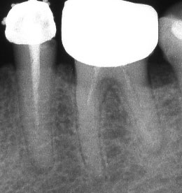
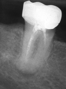
Рентгенографии на добре пролекувани зъби
Ако при диагностична рентгенография се установи, че даден канал не е запълнен до физиологичното стеснение, е необходимо да се проведе повторно ендодонтско лечение.

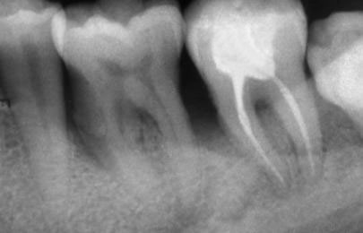
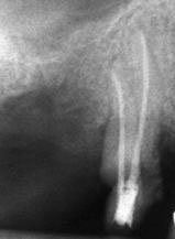
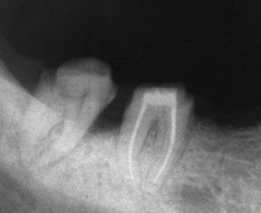
При наличие на огнище на възпаление около корените на зъба добре проведеното лечение води до изчезване на изменението. На снимката долу едва една седмица след пролекуване на каналите се наблюдава известна редукция на патологичния процес. За период от 6 месеца до 2 години е възможно да се наблюдава пълен оздравителен процес.

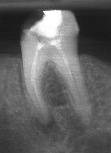
В някои случаи недобре запълненият коренов канал е показание дори за отстраняване на протезни конструкции (корони и мостове) в които е включен съответният зъб.

Винаги е необходимо лекуващият да се стреми към този резултат:


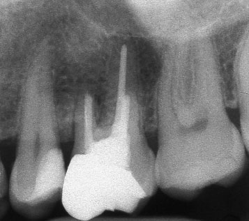
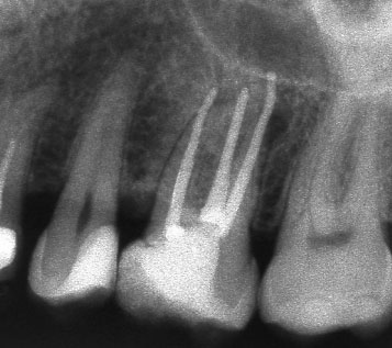
Понякога е налице патологичен процес около апекса на зъба, който налага да се проведе допълнителна хирургична намеса с цел отстраняване на лезията.

www.bg-tourinfo.com www.ralev-dental.com www.investor-bg.com