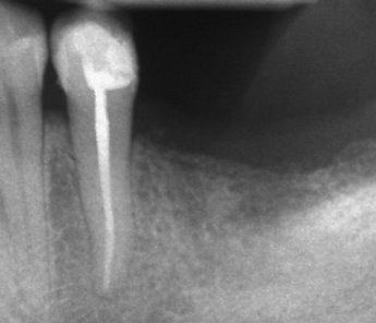
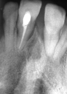
Добре пролекувани зъби

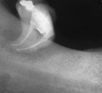
Пулпити

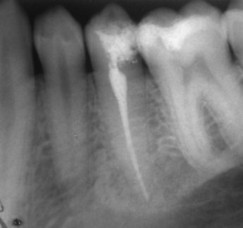
Периодонтити

www.ralev-dental.com

www.investor-bg.com

www.bg-tourinfo.com

Ендодонтия

Адрес на практиката