Композит

Български Turkce Македонски

Композитите са физически смеси на различни вещества, подбрани с цел да се получи подобрена характеристика на продукта. Поне така е било в началото; днес нещата са доста по-сложни и композитите отдавна не са само физична смес. Те представляват нещо нееднородно от гледна точка на строежа си, но връзката между отделните компоненти отдавна вече е от химичен тип с цел оптимизиране на физичните, химичните и биологични свойства на материалите. В състава на един съвременен композит влизат мономери, полимери, неорганични пълнежни частици, силантни свързващи агенти, пигменти, инициаторна система, ултравиолетови стабилизатори, инхибитори, доста модерните напоследък антиоксиданти, флуоресциращи съединения и какво ли още не. Почти всички мономери, произведени в света до момента, са акрилови съединения - метил метакрилат, bis GMA, UDMA, TEGDMA и т.н. Същевременно технологичният процес на изработка на една обтурация от композит не се е променил съществено от момента на въвеждане на материалите в практиката до днес - композитът се поставя в пластичен вид в кухината на зъба, където се полимеризира до твърда маса.

От клинична гледна точка е важно зъболекарят да има контрол върху процеса на полимеризация - този процес е необходимо да стартира в момента, в който е напълно готов моделажът на обтурацията. Съвременните композитни материали полимеризират под действието на видима светлина или химична реакция; през 60-те години на ХХ век е имало композити, които изискват облъчване с ултравиолетова светлина за началото на полимеризацията си. Тази светлина обаче има вредно въздействие върху зрението на зъболекаря, така че тези материали не успяха да се наложат в практиката. Тъй като манипулативното време на химическите композити е кратко (полимеризацията им стартира веднага след смесването на вете съставки), те също се използват все по-малко.

Ецване    Свързващи системи    Полимеризация    Ормосери    Нанофили    Нанохибриди    България

Запишете си час за преглед и консултация на телефон 032 642056

Вход в нашия форум    Зъбни импланти

Национален телефон за поръчки, доставки на материали и информация по всякакви въпроси - 0700 1 5252

Зъбни импланти - Ралев Дентал    Адрес на нашата практика    Зъболекари в България    Зъболекар в Пловдив

Строеж на композитния материал

На тази схема е представен строежът на композиционния материал. Най-общо всеки композит се състои от пълнеж (белите многоъгълници) и свързваща съставка (жълтокафявата текстура). Оттук идва и названието на материала - композит, т.е. състоящ се от различни съставки. Това название се използва не само в стоматологията - много строителни материали също се състоят от два или повече компонента и поради това се наричат композити. При доставката на материала свързващата съставка е течна, което прави материала пластичен и позволява поставянето му в кухината на зъба. След протичането на съответната реакция свързващата съставка се втвърдява и материалът също става твърд. При химическите композити втвърдяването протича при смесването на двете съставки на материала; фотокомпозитите се втвърдяват при облъчване със светлина. Кликнете тук, за да видите как протича процесът полимеризация.

В действителност химичният състав на композитните материали не е толкова прост. Освен свързващата фаза и неорганичния пълнеж се срещат още множество съставки. Добавят се силантни свързващи агенти, тъй като пълнежът и пластмасата са коренно различни вещества като химична структура и свойства и е необходимо те да бъдат свързани чрез някакъв посредник. В противен случай материалът би бил една проста физична смес с понижени якостни и износоустойчиви качества. Добавят се пигменти, тъй като различните зъби имат различно оцветяване и е необходимо материалът да бъде с различни цветове, за да се прилага с еднакъв успех при различните ситуации. Срещат се и инициаторни системи, подпомагащи процеса на полимеризация, ултравиолетови стабилизатори, инхибитори и антиоксиданти - те предпазват от спонтанна полимеризация при съхранение. Флуоресциращите съединения са немаловажна съставка - те осигуряват флуоресценция на материала като на твърдите зъбни тъкани. В противен случай под въздействие на светлината (пряка слънчева и най-вече от луминисцентни лампи) обтурацията би изпъкнала на фона на зъба. Малко тийнейджъри (предимно пънкари и техноманиаци) биха останали очаровани, ако в дискотеката им светят всички пломби.

Кариес   Какво е кариес?    Ормосери - предимства и недостатъци   Вход в нашия форум

Имате въпрос? Задайте го и по електронна поща на адрес ralev@dentist.bg

Композитите спадат към така наречените естетични обтуровъчни материали - цветът им малко или много съвпада с цвета на зъба. Първите естетични обтуровъчни материали са силикат циментите, които са въведени в практиката в края на 19 век. Те се втвърдяват в резултат на реакцията между фосфорната киселина и разтворими стъклени частици (силициеви и алуминиеви окиси). Образува се непрекъснат матрикс от силициев гел, който съдържа нереагирали стъклени частици, т.е. силикатциментът е чист композит според вида на строежа си. Проблем преставлява твърде ниското рН, което се получава при рекацията на втвърдяване - около 1 - 1.5, което при това се поддържа около 24 часа след поставяне на обтурацията. Киселата среда уврежда зъбните тъкани и може да причини некроза на пулпата. Поради това и поради лошите механични качества силикатциментите днес не намират приложение в практиката.

След около половин век е синтезирана първата акрилова пластмаса с основен състав метил метакрилат. Това съединение изиграва голяма роля в денталната медицина и зъботехниката - и до днес повечето зъботехнически пластмаси за протези са на метилметакрилатна основа и с успех се прилагат в практиката. Съединението е синтезирано веднага след Втората Световна Война, през 1947 година в Германия и веднага започва да намира изключително широко приложение в много сфери на човешката дейност - далеч не само в медицината, но и в строителството и при производството на различни пластмасови изделия за бита. Дори българското секунно лепило Каноконлит всъщност е на основата на метил - метакрилат - поради което и се използва много често от пациентите за залепване на изпаднали композитни възстановявания в условия на спешност (по време на почивки, когато няма възможност за посещение при зъболекар). Каноконлитът залепва чудесно композитните обтурации обратно в кавитета на зъба, тъй като на практика има същия химичен състав и осъществява химична връзка с композитния материал. Проблемът е че силно дразни зъбния венец и меките тъкани; при евентуално наличие на комуникация с пулпната тъкан бързо настъпва адът.

Структурна химична формула на метакриловата киселина. Тя влиза в състава на първите няколко поколения свързващи системи; поради високата си токсичност обаче днес не се прилага особено широко в реставративната стоматология - намира повече приложение в областта на зъбопротезирането.

Триизмерен модел на молекулата на метакриловата киселина. Със сиви топчета са означени водородните атоми, с черни - въглеродните, а с червени - кислородните. Показани са и двойните връзки, които се разкъсват в процеса на полимеризация. В случая полимеризацията е чисто линейна - получават се дълги, неразклонени вериги.

Полимерна молекула, съставена от идентични, повтарящи се мономери - схемата горе

Като химично съсединение метил - метакрилатът се оказва не особено подходящ за употреба в клиничната практика. Доста по-широко приложение намира неговото производно bis GMA - биглицидил метилметакрилат - поради по-малкото свиване по време на полимеризация и поради по-добрата биологична поносимост. Неговата структурна формула е представена графично по следния начин:

Структурна формула на bis GMA и TEGMA - триетан глицидил метакрилат. Второто съединение също намира приложение при производството на някои композитни материали.

Различни изомери на съединението bis GMA

Синтез на bis GMA от основните му структурни съставки - бисфенол А и две молекули глицидил метакрилат

Освен в зъботехниката, метилметакрилатът започва да се прилага и в денталната медицина - въведени са в практиката първите химиололимери, които се състоят от прах и течност. Течността се състои от мономер, активатор на полимеризацията (третичен амин) и инхибитор на полимеризацията (хидрохинон), който предпазва от преждевременна полимеризация на течността. Прахът се състои от полимеризиран метилметакрилат, катализатор (бензоил пероксид) и оцветители. След смесване на мономера с полимера се освобождават свободни радикали, започва полимеризацията и пластмасата се втрърдява. Такива материали са въведени в практиката от 1950 година; скоро обаче се установило, че се наблюдава голямо полимеризационно свиване - 5 - 8 %, обтурациите се абразират силно, цветовете са неустойчиви и (не на последно място) връзката с твърдите зъбни тъкани е изключително слаба. Бързо се развивал вторичен кариес, обтурациите си променяли цвета и зъболекарите започнали да изхвълят новозакупените опаковки с пластмаса за обтурации. Нестабилността на цвета се дължи на активатора на полимеризацията (третичен амин). Той съдържа азотни съединения, които при условията в устната кухина се окисляват и се получават реакционни продукти, оцветяващи пластмасата в жълтокафяв цвят. За да не се променя цветът на пластмасата, към течността се прибвят соли на сулфиновата киселина.

За намаляване на полимеризационното свиване и за подобряване на механичните качества на материалите към тях са добавени неорганични пълнители. Към полимера на бързовтвърдяващата се пластмаса Попов през 1967 година добавя стърготини от сребърно - калаена амалгама и така получава композиционен материал, наречен Аргопласт. Той се състои от пет обемни части полимер на бързовтвърдяващата се пластмаса Duracryl и една част сребърно - калаени стружки. Пластифицира се с мономер от същата пластмаса. Обтурациите от Аргопласт притежават голяма част от недостатъците на пластмасовите обтурации и освен това имат сиво - черен цвят. Значително по-добри качества има руският материал Норакрил 100 - той е е по-твърд поради включената епоксидна смола в течността и поради неорганичния пълнител (кварц до 80 %), обработен със силан. Проблем представлява остатъчният мономер, който уврежда пулпата.

Посочените недостатъци на пластмасите са наложили търсенето на нови мономери и други пълнежни частици. През 1958 година Raphael Bowen предлага нов мономер, наречен Bis-GMA (реакционен продукт между бис-фенол А и глицидил метакрилата). Този мономер изглежда като бледожълтеникава течност, която се разрежда в съотношение 1:20 с гликол диметакрилат за намаляване на вискозитета. От този момент нататък повечето комозитни материали и свързващи системи се произвеждат на тази база - от най-евтините до най-скъпите и съвременни материали. Употребата на ароматните диметакрилати има следните предимства пред метилметакрилатите: не са летливи, имат по-ниско полимеризационно свиване, имат по-голяма якост на опън и натиск, поглъщат по-малко вода, по-слабо са токсични за пулпата поради по-голямата по размер молекула, крайната твърдост на продукта е по-голяма.

Свързваща система на база bis GMA

Като качества химическите композити са общо взето по-лоши от фотокомпозитите - доставят се почти винаги само в един цвят, поради което цветът на обтурацията не винаги съвпада с този на зъба, не се полират добре, с времето пожълтяват и т.н. Всичко това е точно обратното при фотокомпозитите (т. нар. фотополимери), но те за съжаление са по-скъпи и изискват малко повече клинично време при изработването си. Като химичен състав неорганичните пълнители включват най-често бариев силикат, по-рядко стронциево стъкло, итербиев трифлуорид, колоидален силиций и циркониев силикат. Съществува класификация на композитите според големината на частиците на пълнителя им. Тази класификация е от съществено значение за много от техните свойства. Произвеждат се следните видове композити:

Мега- и макрофилните композити са механично много здрави, но при полиране и с течение на времето частиците по повърхността им се откъртват и последната става грапава и порьозна. Тези недостатъци липсват при мини- и микрофилните композити, но при тях здравината е малка. За да се съчетаят предимствата на двете групи материали, производителите създадоха хибридните композити - при тях има два вида пълнежни частици, като малките са разпръснати около големите. Така се увеличава още повече здравината на материала, а полирането става лесно. Представеният на горната схема материал е именно хибрид. При нанофилните композити пък големината на пълнежа е съизмерима с големината на органичната фаза, поради което материалът има повече свойствата на еднородна смес, отколкото на композит. Механичната здравина поради това е най-голяма в сравнение с всички останали материали, а полирането е до огледален блясък. Размерът на пълнежа е по-малък от дължината на вълната на видимата светлина, поради което частиците не отразяват и не абсорбират светлината и фактически са невидими. Това е причина и за отличната естетика на тези материали - с тях се получава субстанция, която по нищо не се отличава от зъбния емайл.

Все още обаче максимална здравина се постига с макро- и мегафилните композити. При тях частиците са най-големи, съответно на единица площ има най-малък брой връзки между двете съставки на материала. Поради това вероятността връзката да се разкъса е най-малка - при фрактуриране на компизитния материал в 99 % от случаите причината е нарушаване на връзката между двете съставки. В редки случаи фрактурата се дължи на счупване на пълнежна частица или на самата свързваща фаза. Този феномен се използва в строителството, където се прилагат бетонни смеси (бетонът не е нищо друго освен композит) с различна големина на пълнежа. Така например при подови замазки е достатъчно да се нанесе смес от цимент и пясък; междуетажните плочи се отливат от смеси между цимент и чакъл - чакълът е много по-едър пълнеж от пясъка. При отливане на носещи колони на мостове и язовирни стени понякога се използва бетон с огромни камъни (с размер 15 - 20 см.) като пълнежна фаза - по този начин рязко се увеличава здравината на този своеобразен химически композит. В миналото основите на къщи са изграждани от камъни с подобна големина със свързваща фаза цимент или хоросан.

www.ralev-dental.com   www.bg-dentist.com    Зъбни импланти - Ралев Дентал   Нанокерамична възстановителна система DRM    www.dentistry.bg    www.caries.bg    www.ralev-dental.bg   Ецване

Имате въпрос? Задайте го и по електронна поща на адрес ralev@dentist.bg

Композит от висок клас

Съвременен композитен материал - DRM - САЩ. Всички обтуровачни материали от този тип се предлагат под формата на шприци или компюли. Шприците имат бутало с резба, при затягането на която буталото се придвижва напред и част от материала излиза навън. При компюлната форма се използва пистолет за компюли, който също упражнява налягане - като едиснтвената разлика е че компюлите имат по-малък размер, съответно съдържат по-малко количество композит. Материалът се продава от производителя на обем (който се измерва в милилитри) или на тегло (в грамове). По-удобни са шприците, на които е означен обемът, защото идеята на композитните материали е да се запълват обемни дефекти на твърдите зъбни тъкани - а не да се измерва тегло и да се продава материал на пациента на грамаж. Това обаче има значение само при някои икономически разчети за разходите; а и плътността на композитния материал е сходна с тази на водата, така че на практика един грам е почти равен на един милилитър. Същото правило важи и за химическите композити, макар че в днешно време те почти не се използват.

С въвеждането на композитите в практиката възниква проблем - трябва да се осигури надеждна и трайна връзка между зъбните тъкани и обтуровъчния материал. Въведени са множество свързващи системи, някои от които изискват ецване на зъба, а други са самоецващи. Цели се по механичен и химичен път да се осигури добра адхезия на композита към зъба, която ахезия да предпази от проникване на микроорганизми и хранителни остатъци между обтурацията и зъбната повърхност.

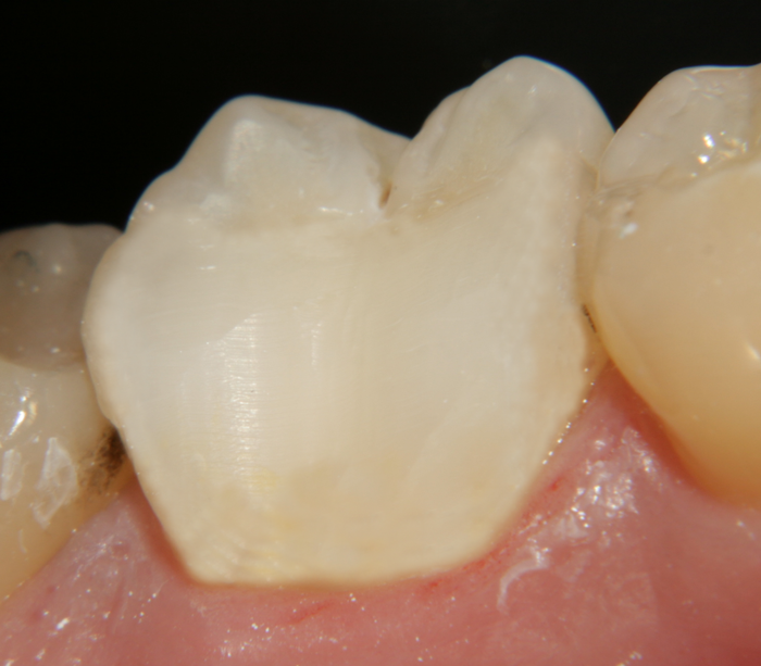
Зъбна реставрация на премоларен зъб

Композитно възстановяване с добри естетични и биологични качества - изработено е от нанокерамичната възстановителна система DRM Crown на Dental Research Materials - САЩ. Такива възстановявания се полират добре и са изключително трайни, ако се спазват отделните стъпки на клиничния адхезивен протокол. Дистално на петия зъб се вижда индиректно метално възстановяване; на третия зъб се виждат излишъци от свързващата система (както казват шлосерите - чепаци), които обикновено са с линеарна форма и се отрстраняват лесно от зъба. Винаги е добре една зъбна реставрация да бъде полирана максимално, за да не се задържа върху нея плака, хранителни остатъци и микроорганизми. По този начин се увеличава трайността на възстановяването и се намалява вероятността от развитие на вторичен кариес; улеснява се почистването на зъба и пациентът го усеща максимално естествено - ако има грапавини, ръбове и неравности, езикът винаги ги опипва и се създава чувство за дискомфорт у пациента. Някои съвременни композитни материали са с големи възможности за полиране - производителите са конструирали химичния им състав така че по време на дъвчене повърхността на материала да се полира допълнително. Такъв е обтуровъчният материал на DRM - за повече информация кликнете тук...

Композитни фасети

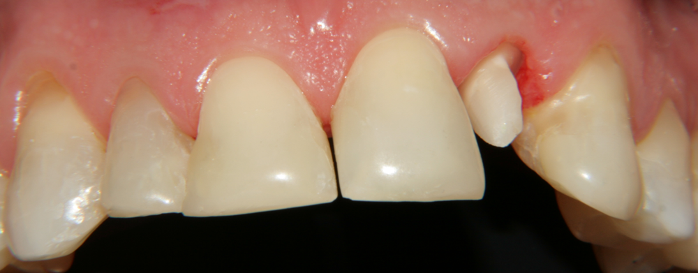
Два централни резеца, на които са изработени композитни фасети от материала Gradia Direct - GC. На десния страничен резец е възстановен само част от режещия ръб; на левия страничен резец предстои да бъде изработена обвивна корона. При внимателна изработка и старание от страна на зъболекаря с директни комозитни възстановявания могат да се получат отлични резултати.

Стара компрометирана амалгамена обтурация

Красива амалгамена обтурация с вторичен кариес; в резултат на обемните промени са формирани пукнатини в емайла на зъба

Обтурацията е отстранена

Кариозната маса е почистена

Вход в нашия форум

Зъбът е възстановен с композитен материал

Зъбът е възстановен с композитен обтуровъчен материал. Реставрацията е финирана и полирана, разликата е очевидна. Като възстановителен материал е използвана нанокерамичната система на DRM. Освен естетичните предимства в случая има и много други положителни ефекти: така например композитите не търпят линейни и обемни промени с течение на времето; запазват блясъка си за дълго време, а някои дори по време на дъвкателната функция се полират допълнително (отново системата на DRM). Освен това връзката на композитния материал с твърдите зъбни тъкани е много по-силна отколкото при всички други материали. При провал в адхезивния протокол нещата стават видими веднага - явява се маргинално оцветяване, което ориентира зъболекаря към подмяна на обтурацията. При амалгамени обтурации не винаги се вижда формирането на вторичен кариес; освен това е трудна диференциалната диагноза между вторичен кариес и окисни натрупвания около обтурацията.

www.dentalimplants.bg    www.bg-dentist.com    www.ralev-dental.com    www.bg-dentist.eu    www.omegadentagroup.com   Вход в нашия форум    Нанофили